








Having been the face of South-West Sydney Spring Farm, Mount Annan, Elderslie, Camden, Narellan, Oran Park and Edmondson Park - we are renowned in cosmetic and implant dentistry - having designed and completed numerous smiles.
We are South-West Sydney's choice for obtaining the smiles they desire that personifies expression of freedom - A pearl of dentistry.
Dr. Ankit Goyal is the principal dentist. He lives in the local area and understand the intricacies of the community.
Being highly qualified and having worked with world-renowned names, our team desires to bring that essence to your hometown of South-West Sydney.
We aim to become friends of the community, of the families who want a secure place to feel confident about their smile, not being judged, of the people who had to neglect their teeth for years due to hardships of life. We are one of you.
"By the community for the community"

Explore
The ServicesOur skilled team is dedicated to ensuring your comfort and satisfaction throughout your dental journey. At Spring Farm Dental, we believe in the power of a healthy, beautiful smile, and we're excited to help you achieve it.
Ensure your oral health with our comprehensive check-up and cleaning services.
Transform your smile with porcelain or composite veneers for a flawless look.
Brighten your smile with our effective teeth whitening treatments.
Achieve a perfectly aligned smile with our orthodontic solutions, including Invisalign.
Restore missing teeth and regain your confidence with our dental implant expertise.
We're here when you need us most, providing prompt and reliable emergency dental care.
The Pleasure Of Beauty
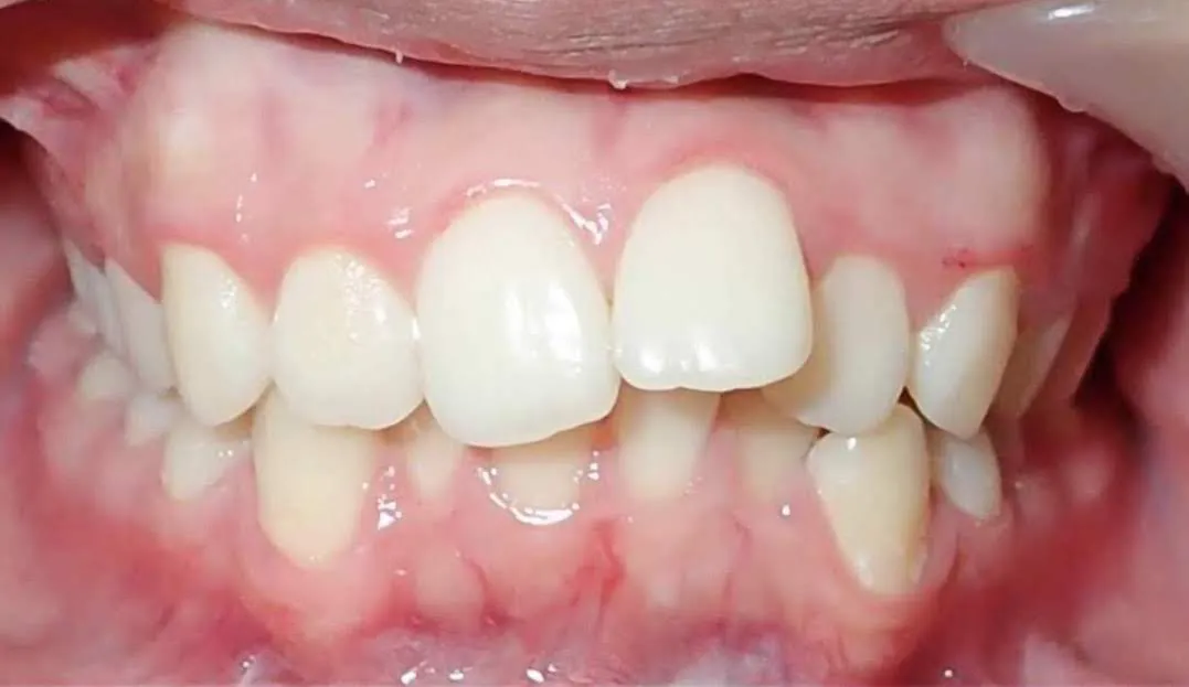
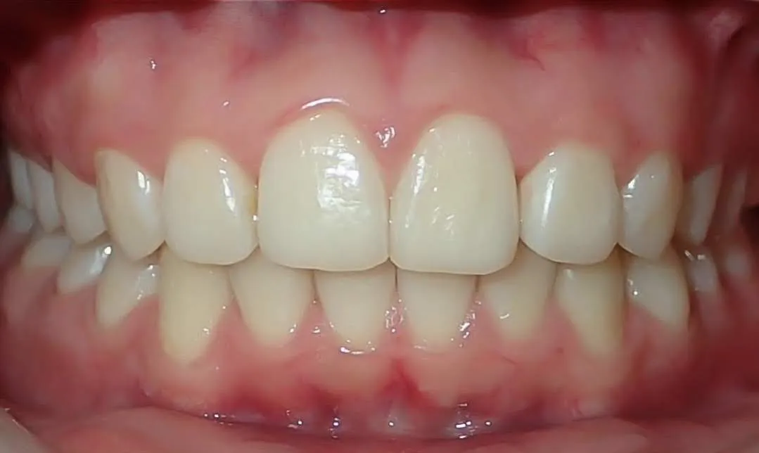
Before & AfterExplore the remarkable transformations, and envision the endless possibilities as we create healthier, happier smiles at Spring Farm Dental


At our dental clinic, we are dedicated to providing you with the highest quality of dental care. Our experienced team of dentists and staff are committed to ensuring your oral health and well-being.
We believe that a healthy smile is a beautiful smile, and we offer a range of services to help you achieve and maintain your best oral health. From routine check-ups and cleanings to advanced treatments like veneers, teeth whitening, and orthodontics, we have your dental needs covered.
Our goal is to make your dental experience comfortable and stress-free. Whether you're visiting us for a regular check-up or require emergency dentistry, we're here to provide you with the care you deserve.
Discover the difference of our dental practice and schedule your appointment today. Your smile is our priority.
At Spring Farm Dental Clinic, your oral health is our top priority. We are dedicated to providing comprehensive dental care that meets your unique needs. Our experienced team of dentists and staff are here to ensure you enjoy a healthy, beautiful smile for life.
New patient consultations are complimentary and booked for Monday to Friday only. Pricing and fees are subject to change at any time, without any given notice. See terms and conditions for further information. Prices as of February 2023.
The Pearl of Dentistry.

Innovative
Your smile deserves the best, and that's what we deliver. We're not just a dental clinic, we're your gateway to the future of oral healthcare. Welcome to the next level of dentistry.
Patient
Centered

Supportive Clinic
Our dedicated team of skilled professionals is prepared to address urgent concerns or provide late-night support, making sure you're never alone in your time of need.
Your Financial Comfort
We believe that everyone deserves a beautiful, healthy smile, and financial concerns should never stand in the way. With our flexible payment options, you can get the treatment you need without delay.Have Some Questions?

Dealing with a dental emergency can be exceptionally stressful and overwhelming. It can be frightening to experience pain without knowing its cause or to have a dental emergency occur at an inconvenient time.
We understand that dental emergencies can happen to anyone, at any moment. At our Spring Farm Dental clinic in Spring Farm, we are dedicated to delivering top-notch care to every patient who walks through our doors. Whether you need assistance after regular hours or on the same day, we will make every effort to accommodate you. We recognize that dental emergencies do not always align with our standard clinic hours.
In many cases, we can provide treatment in a single visit. However, some conditions may require more extensive care.